Cerec

We have been providing same day crowns for the past 17 years and it is one of the services we offer that our patients most appreciate.

What are the benefits?
- No need to make temporary crowns – therefore no lost temporary appointments.
- No traditional unpleasant moulds taken instead a digital scanner is used to make a digital model.
- Less visits for our patients to the practice.
- No delays due to lost or delayed lab work.
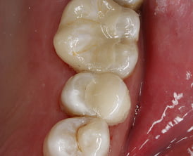
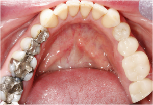
- Lifelike looks and colour.
- Happy patients and happy staff!

Exam and Preparation
First, your Dentist examines the tooth and determines the appropriate treatment. It could be a simple filling, or a full crown, depending on how much healthy tooth structure is remaining and the clinical judgement of your Dentist. Next, he or she administers an anesthetic and prepares your tooth for the restoration, removing decayed and weakened tooth tissue. This preparation is just like he or she would do for many other restorative techniques.
Optical Impression
Then, your Dentist takes an Optical Impression of the prepared tooth. Instead of filling a tray with impression “goop” that you must bite into and hold in your mouth until it hardens, your Dentist coats the tooth with a non-toxic, tasteless powder. A camera is then used to take a digital picture of your tooth. This whole Optical Impression process only takes a minute or two.

No Temporaries
Next, the CEREC machine helps the Dentist create the restoration for your tooth. The CEREC 3D software takes the digital picture and converts it into a 3-dimensional virtual model on the computer screen. Your Dentist then uses his or her dental expertise to design the restoration using the CEREC 3D computer program. Within a few minutes, your Dentist clicks a button, and the restoration design data is sent to a separate milling machine in the office. A ceramic block that matches your tooth shade is placed in the milling machine. About 10 – 20 minutes later, your all-ceramic, tooth-colored restoration is finished and ready to bond in place. Finally, your Dentist tries the restoration in your mouth to ensure proper fit and bite. The restoration is then polished and bonded to the prepared tooth. Your tooth is restored with no “temporary” or return trip necessary. All of this is done in a single appointment!





Optical Impression
